Breakthrough drug for motor neurone disease shows promise in new study
By Jill Dando News
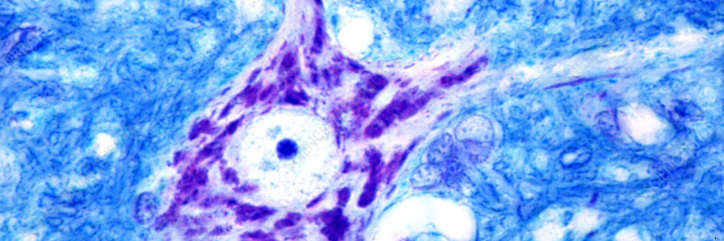
A new drug called Ellorarxine is offering hope to those suffering from motor neurone disease (MND), according to a recent study published in the International Journal of Molecular Sciences.
Researchers from our top-rated Chemistry department have found that this novel compound, developed by Nevrargenics Ltd., could significantly improve the neuronal health of MND patients and enhance their nervous system's ability to regenerate.
New treatment addresses multiple aspects of MND
Motor neurone disease, which affects over 5,000 people in the UK at any given time, is characterised by progressive muscle wasting.
Current treatments only address symptoms, but Ellorarxine shows potential to tackle the underlying causes of the disease.
The study revealed that Ellorarxine demonstrates antioxidant and anti-inflammatory effects, even at very low concentrations.
It was found to increase the expression of key proteins, promote neurite growth, and improve mitochondrial health – all crucial factors in combating MND.
What sets Ellorarxine apart is its ability to address what researchers call the "3Ns" – neuroprotection, neuroplasticity, and neurorepair.
This comprehensive approach is rare in potential MND treatments and could be a game-changer in the field.
Human trials
The success of this study builds on earlier research conducted at Aberdeen University, which showed that Ellorarxine can cross the blood-brain barrier and concentrate in the spinal cord – crucial properties for any effective MND treatment.
With these promising results, Nevrargenics has received approval from the UK's Medicines and Healthcare products Regulatory Agency (MHRA) to proceed with human trials.
This marks a significant step forward in the development of a potentially life-changing treatment for MND sufferers.
Find out more
- Learn more about the work of Professor Andy Whiting and Professor Paul Chazot.
- Read the full paper published in the International Journal of Molecular Sciences.
- Visit Nevrargenics website.
- Interested in studying at Durham? Explore our undergraduate and postgraduate courses.